- Dapatkan link
- X
- Aplikasi Lainnya
Featured Post
- Dapatkan link
- X
- Aplikasi Lainnya
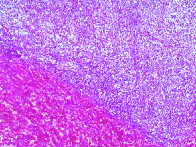
View Diffuse Large B Cell Lymphoma Spleen UK. Obesity is a risk factor. May arise from follicular lymphoma.

Involvement of splenic hilar lymph nodes and bone marrow (usually focal) can occur in primary dlbcl.
B cell nhl's include burkitt lymphoma, diffuse large b cell lymphoma, mantle cell lymphoma, and marginal zone lymphoma. Obesity is a risk factor. Our understanding of this heterogeneity has increased with the development of several molecular technologies, resulting in the identification of genetic subtypes and important biologic. A united kingdom national cancer research institute trial.
- Dapatkan link
- X
- Aplikasi Lainnya
Komentar
Posting Komentar